Объявления
Новости
Еще три ветеринарные клиники открылись за последнее время
Всем невзгодам назло в Минске и в Минском районе за последние месяцы открылись еще несколько ветеринарных клиник.Первый в Беларуси магнитно-резонансный томограф для животных!
Ветеринарная клиника Доктор Вет сообщает о вводе в строй первого в Беларуси магнитно-резонансного томографа для животных! Модель - Philips Intera 1,5Т, напряженность магнитного поля томографа - 1,5...Ветклиника Сас Энимал Сервис переехала в новое здание
Ветеринарная клиника "Сас Энимал Сервис" переехала на улицу Козлова, 27а.Мы Вконтакте
Статьи
Зачем нужно играть с собакой
Игра закладывает основы взаимопонимания между человеком и собакой, способствует установлению доверительных отношений и позволяет выработать совместные привычки. В процессе игры собака двигается...Как подобрать щенку кличку
Если вы берёте собаку с родословной, то в документах уже вписано её кличка. Замечательно, если предложенный вариант вас устраивает. В обратном случае у щенка могут быть два имени: первое –...Игрушки волнистых попугаев
Думаю, все владельцы кошек и собак знают, что их питомцы любят поиграть. В любом зоомагазине вы найдёте специальную полочку, а то и целый стеллаж, заполненный всевозможными мячиками, игрушечными...Проблема с лёгкими у кошки
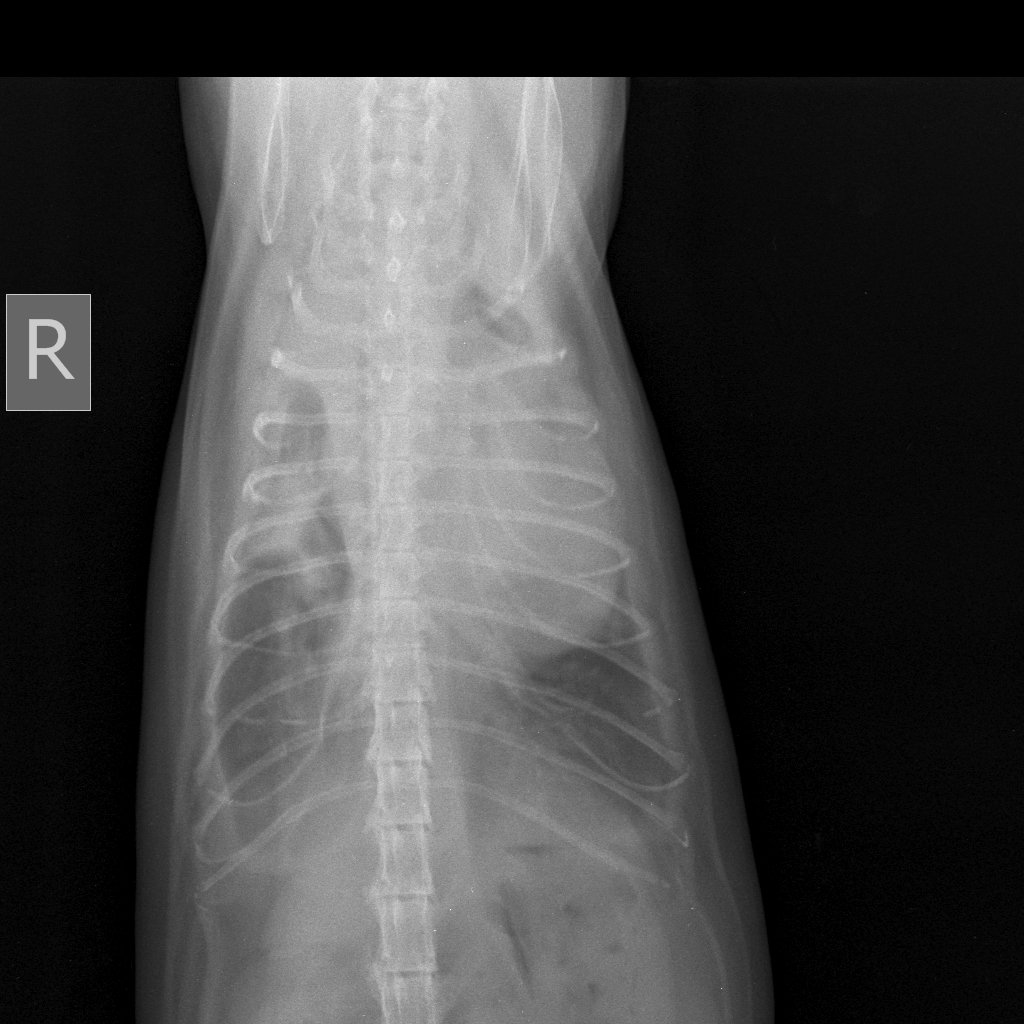
Вопрос задан 21.07.2019 15:29 пользователем НатальяДобавить сообщение к этому вопросу или поблагодарить ветеринарного врача »
|
|
Здравствуйте!Помогите пожалуйста!! У нашей кошки 2 года проблемы со здоровьем.Частое дыхание ( с частотой 50-55 в мин),мокрый кашель и хрипы.Врачи думают что жидкость,откачивали эту жидкость 2 раза.Хотя говорят,что жидкости совсем мало,но всё равно делают пункции.Назначают мочегонные препараты.Но ей не становится лучше |
|
[21.07.2019 16:14] Здравствуйте! Судя по снимкам у кошки увеличено сердце.Рекомендую сделать УЗИ сердца и получить консультцию у кардиолога. |
|
[21.07.2019 18:03] Есть зона просветления в краниальной части. Но необходимо смотреть сам снимок(его можно увеличить), а не картинку. |
|
[21.07.2019 20:01] Спасибо большое.Но к сожалению,наши врачи ничего не говорят вообще,наверное не знают.А скажите ,просветление это что может значить? |
|
[21.07.2019 22:30] В легких воздух должен быть(более темный фон должен быть),а там наоборот. Может быть жидкость,а может быть просто фото такое. Поэтому необходимо смотреть непосредственно снимок. |

